Khám và tư vấn chỉnh nha
Bác sĩ thăm khám tổng quát, đánh giá tình trạng răng – hàm và tư vấn hướng điều trị.
Niềng răng là phương pháp chỉnh nha dùng khí cụ nha khoa (mắc cài hoặc khay trong suốt) để sắp xếp răng về đúng vị trí khớp cắn, giúp cải thiện thẩm mỹ, phục hồi chức năng nhai và phòng ngừa các bệnh răng miệng.
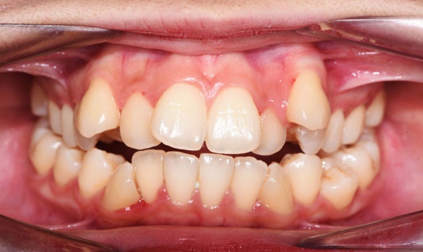
1
Răng hô
2
Răng móm
3
Răng thưa
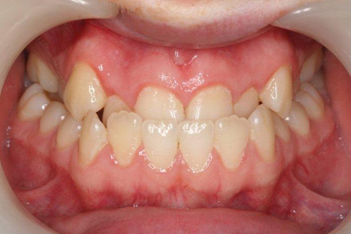
4
Răng lệch lạc, chen chúc
5
Cắn hở
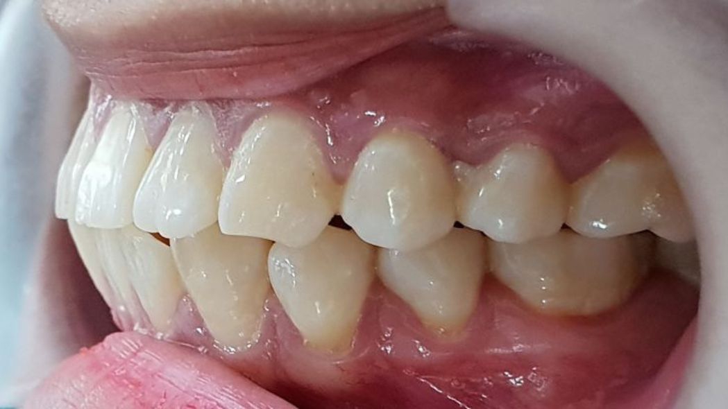
6
Cắn chéo
7
Cắn sâu
8
Răng khểnh
Khám và tư vấn chỉnh nha
Bác sĩ thăm khám tổng quát, đánh giá tình trạng răng – hàm và tư vấn hướng điều trị.
Thu thập dữ liệu phục vụ phân tích chỉnh nha, scan răng
Thực hiện chụp X-quang, hình ảnh trong – ngoài miệng, lấy dấu hoặc scan 3D răng để có dữ liệu chính xác cho việc phân tích.
Lập và hội chẩn phác đồ điều trị với bác sĩ chuyên môn
Xây dựng phác đồ điều trị chi tiết và hội chẩn chuyên môn (với khay trong suốt: thực hiện trên phần mềm Clincheck và phối hợp với hãng).
Trao đổi phác đồ điều trị với bệnh nhân
Trình bày lộ trình điều trị, thời gian dự kiến, kết quả mong đợi và giải đáp thắc mắc để bệnh nhân hiểu và đồng ý (với khay trong suốt: mô phỏng kết quả trên phần mềm Clincheck).
Xử lý các vấn đề tổng quát, làm các bước tiền chỉnh nha
Điều trị các bệnh lý răng miệng trước khi bắt đầu niềng.
Gắn mắc cài hoặc attachment, bàn giao khay nếu dùng niềng trong suốt.
Bác sĩ gắn mắc cài và dây cung hoặc gắn attachment, sau đó bàn giao khay trong suốt để bắt đầu quá trình chỉnh nha
Tái khám định kỳ, điều chỉnh mắc cài hoặc làm khay refinement nếu cần.
Bệnh nhân tái khám định kỳ để bác sĩ theo dõi tiến độ, điều chỉnh lực kéo hoặc làm thêm khay refinement khi cần.
Tháo mắc cài/attachment, kết thúc điều trị, làm hàm duy trì.
Khi răng về đúng vị trí, tháo mắc cài/attachment, kiểm tra khớp cắn và làm hàm duy trì.
Tái khám theo dõi miễn phí 6 tháng một lần
Tái khám định kỳ miễn phí sau điều trị để đảm bảo kết quả ổn định và duy trì lâu dài.