Thăm khám và tư vấn tổng quát
Bác sĩ sẽ kiểm tra tổng thể. Nếu phát hiện các vấn đề như sâu răng, viêm tủy, hoặc các bệnh lý răng miệng khác, bệnh nhân sẽ cần được điều trị triệt để trước khi tiến hành bọc sứ để đảm bảo hiệu quả và độ bền lâu dài.
Răng sứ thẩm mỹ là xu hướng làm đẹp thu hút được đông đảo sự quan tâm của tất cả mọi người. Với mong muốn sở hữu một hàm răng khỏe đẹp giúp nụ cười thêm tự tin tỏa sáng, nhiều người tìm đến phương pháp bọc răng sứ trong khi vẫn đang lầm tưởng về các quy chuẩn của phương pháp này, cụ thể là phương pháp bọc răng sứ thẩm mỹ.
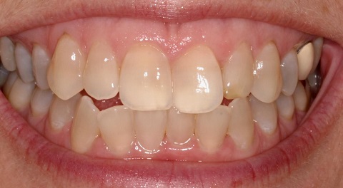
Tuy là một loại răng giả, nhưng răng sứ lại có màu sắc, kiểu dáng, độ bền và chức năng ăn nhai không khác gì răng thật. Sau khi bọc răng sứ xong, bạn đã có thể tự tin hơn rất nhiều với hàm răng đều, đẹp, trắng sáng và khít đều. Dưới đây là một số lợi ích của việc bọc răng sứ:
Dù là mão sứ, cầu răng sứ hay sứ veneer thì sau khi bọc xong, hàm răng bạn cũng sẽ luôn được đảm bảo tính thẩm mỹ bởi lớp men sứ có màu sắc trắng sáng và bóng đều như ngọc trai, lại rất ít khi bị ám màu thực phẩm. Ngoài ra, các khuyết điểm như răng nứt, răng thưa, hô, móm, vẩu cũng sẽ được khắc phục hiệu quả.
Nhiều người vì răng bị sứt hay mất một vài răng mà quá trình ăn uống trở nên khó khăn hơn rất nhiều. Các tình trạng như thức ăn nhét vào kẽ răng, đau nhức hay ê buốt răng xảy ra thường xuyên khiến chất lượng bữa ăn của bạn bị giảm sút, bạn không còn cảm thấy ngon miệng khi ăn. Sau khi bọc sứ cho răng, đảm bảo khả năng ăn nhai của bạn sẽ được cải thiện đáng kể. Chất lượng bữa ăn được nâng cao, đồng thời bạn cũng phải không lo lắng xảy ra các tình trạng đau buốt hay ê nhức răng nữa.
Thiếu răng, khe hở của răng quá lớn sẽ khiến cho giọng nói của bạn bị biến đổi, việc phát âm cho tròn vành, rõ chữ sẽ bị hạn chế. Hơn nữa, bị mất răng lâu ngày còn có thể dẫn tới tình trạng tiêu xương, điều này vừa ảnh hưởng đến giọng nói cũng vừa là một khuyết điểm rất lớn của nụ cười. Bọc răng sứ sẽ giúp bạn khắc phục hoàn toàn các điểm yếu này. Bạn có thể tự tin khi gặp gỡ và trò chuyện với người khác hơn. Vì lúc này giọng nói đã được trở về với tông bình thường.
Các chuyên gia hàng đầu về răng miệng cho biết, độ bền của răng sứ có tuổi thọ trung bình từ 15 đến 25 năm. Trong đó, những loại răng sứ titan, răng sứ thường sẽ có tuổi thọ 15 năm, còn răng toàn sứ và răng sứ kim loại quý sẽ là 25 năm. Tất nhiên, độ bền của răng sứ còn phụ thuộc trực tiếp vào quá trình chăm sóc và bảo vệ răng miệng của bạn. Nếu như bạn vệ sinh răng kĩ càng, hạn chế ăn đồ cứng, quá nóng hay quá lạnh thì tuổi thọ của răng sẽ được lâu hơn.
Khi được sử dụng để bọc và bao chụp lên những chiếc răng thật, mão răng sứ không chỉ đóng vai trò phục hình lại những răng cũng như tạo tính thẩm mỹ hơn cho nụ cười, mà nó còn có vai trò bảo tồn răng thật và tránh xảy ra tình trạng tiêu xương hàm hiệu quả. Bởi răng sứ giống như một thanh nẹp, ràng buộc những phần còn lại của răng gãy, sứt, vỡ, là một chiếc lá chắn để vi khuẩn cũng như các mảng bám thức ăn không thể bám tụ và xâm nhập vào cùi răng được.
1
Răng thưa
2
Răng mọc lệch, hô, móm, vẩu (ở mức độ nhẹ)
3
Răng nhiễm màu kháng sinh (quá nặng)
4
Mất một hoặc nhiều răng
Thăm khám và tư vấn tổng quát
Bác sĩ sẽ kiểm tra tổng thể. Nếu phát hiện các vấn đề như sâu răng, viêm tủy, hoặc các bệnh lý răng miệng khác, bệnh nhân sẽ cần được điều trị triệt để trước khi tiến hành bọc sứ để đảm bảo hiệu quả và độ bền lâu dài.
Chuẩn bị cùi răng
Bác sĩ tiến hành mài nhỏ cùi răng một cách cẩn thận và chính xác. Quá trình này được thực hiện dưới sự kiểm soát chặt chẽ để không gây tổn thương hay ảnh hưởng đến tủy răng
Lấy dấu răng và chế tác mão sứ
Bác sĩ sử dụng vật liệu chuyên dụng để lấy dấu hàm sau khi mài cùi. Dữ liệu này sẽ được gửi đến phòng Labo để kỹ thuật viên chế tác mão răng sứ riêng biệt, đảm bảo độ khít sát và thẩm mỹ cao nhất.
Gắn răng tạm thời
Bệnh nhân sẽ được gắn một lớp răng tạm thời. Răng tạm không chỉ giúp duy trì tính thẩm mỹ và chức năng ăn nhai mà còn ngăn ngừa sự ê buốt, bảo vệ cùi răng khỏi các tác động bên ngoài.
Gắn răng sứ cố định
Khi mão răng sứ đã được chế tác xong, bác sĩ sẽ kiểm tra lại một lần nữa về kích thước, màu sắc và khớp cắn. Sau khi bệnh nhân đồng ý, răng sứ sẽ được gắn cố định chắc chắn bằng keo dán nha khoa chuyên dụng, hoàn thành quá trình bọc răng sứ.