Thăm khám (chụp X-quang nếu cần)
Khách hàng sẽ được khám tổng quát răng miệng, chụp X-Quang nếu có răng sâu hoặc viêm tủy
Trồng răng Implant là phương pháp phục hình hiện đại thay thế răng đã mất bằng cách cấy một trụ nhỏ bằng Titanium vào xương hàm. Trụ này đóng vai trò như một chân răng thật, giúp xương hàm gắn kết vững chắc và ngăn ngừa tiêu xương. Sau đó, bác sĩ sẽ gắn mão sứ lên trên trụ Implant, tạo thành chiếc răng hoàn chỉnh, có hình dáng và chức năng ăn nhai giống như răng tự nhiên.
1
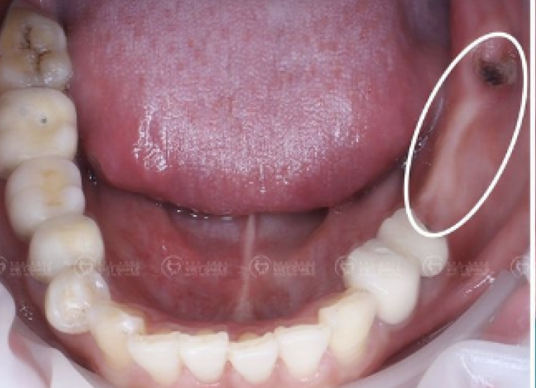
Bị mất một hoặc nhiều răng
2
Sâu răng quá lớn, tổn thương tủy nặng
3
Viêm chân răng nặng
4
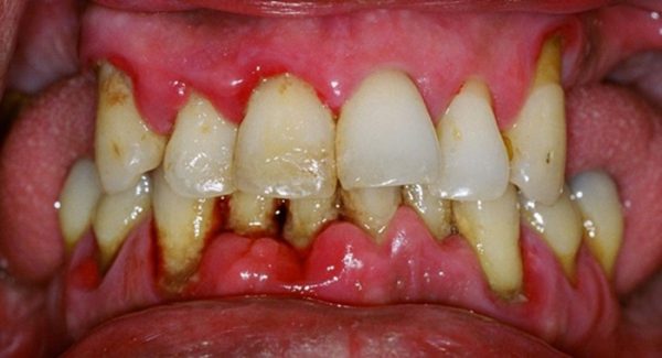
Viêm nha chu nặng
5
Chân răng quá yếu
6
Mất răng toàn hàm
Thăm khám (chụp X-quang nếu cần)
Khách hàng sẽ được khám tổng quát răng miệng, chụp X-Quang nếu có răng sâu hoặc viêm tủy
Lên kế hoạch điều trị
Từ kết quả thăm khám, nha sĩ sẽ chẩn đoán trước khi bọc răng sứ và tư vấn cho khách hàng những loại răng sứ thích hợp với tình trạng răng và điều kiện kinh tế của khách hàng
Tiến hành cấy ghép Implant
Cấy trụ Implant vào trong xương hàm
Đặt Abuntment (khớp nối) lên trụ Implant
Sau thời gian lành thương, tháo trụ healing và lấy dấu răng để chế tác khớp nối (abutment) và mão sứ. Sau đó, gắn mão sứ hoàn thiện, khôi phục răng mới cho bệnh nhân.
Theo dõi và chăm sóc sau cấy ghép
Bệnh nhân sẽ cần thăm nha sĩ định kỳ 6 tháng để kiểm tra và chăm sóc implant cũng như vệ sinh răng miệng đúng cách